
How can immunology improve treatments for urinary tract infections?
[[{“value”:”
How can immunology improve treatments for urinary tract infections?
Urinary tract infections (UTIs) affect hundreds of millions of people every year. While antibiotics can clear the bacteria, some patients — especially children — are left with permanent kidney damage. Dr Juan de Dios Ruiz-Rosado, an immunologist at Nationwide Children’s Hospital in the US, is studying how the immune system fights UTIs, aiming to develop new treatments that strengthen the body’s natural defences.
Talk like a renal immunologist
Acute pyelonephritis – a serious bacterial infection of the kidneys that can cause inflammation and, in some cases, permanent scarring and loss of kidney function
Antibiotic resistance – the ability of bacteria to survive and continue multiplying despite treatment with antibiotics
Chronic kidney disease – a long-term condition in which the kidneys gradually lose their ability to filter waste and maintain fluid balance
Kidneys – the organs that filter waste and excess fluid from the blood while keeping the body’s chemical levels balanced
Macrophage – an immune cell that can detect, engulf and destroy microbes while also coordinating other parts of the immune response
Neutrophil – a short-lived white blood cell that is among the first immune cells to arrive at sites of infection and kill invading bacteria
Reactive oxygen species – highly reactive molecules produced by immune cells that help destroy invading microbes
Renal – relating to the kidneys
Urinary tract infections (UTIs) are one of the most common bacterial infections worldwide. “They occur when microorganisms — most often bacteria — enter and multiply within the urinary tract,” explains Dr Juan de Dios Ruiz-Rosado from Nationwide Children’s Hospital. “They can affect any part of the urinary system, including the urethra, bladder and kidneys, which all work together to remove waste from the body through urine.”
The leading cause of UTIs is uropathogenic Escherichia coli (UPEC), a strain of bacteria responsible for around 75% of cases. Globally, an estimated 400 million people develop a UTI each year. While many cases are straightforward to treat, some can spread to the kidneys and lead to lasting health consequences.
What is acute pyelonephritis?
Acute pyelonephritis is a serious kidney infection that develops when bacteria spread from the bladder to the kidneys. This typically happens when bacteria such as UPEC travel upwards through the ureters, the tubes connecting the bladder and kidneys. These microbes are well adapted for the journey: they use hair-like structures called fimbriae to attach to the urinary tract lining, tail-like flagella to move forwards and can even enter the cells lining the tract to avoid being flushed out with urine or detected by the immune system. In children with a condition called vesicoureteral reflux — where urine flows backwards towards the kidneys — this spread is more likely.
Because the kidneys are responsible for filtering waste from the blood and regulating the body’s fluid balance, kidney infections can have serious consequences. “Even when antibiotics successfully treat a kidney infection, about 15–20% of children with acute pyelonephritis develop permanent kidney scarring,” explains Juan. Over time, this reduction in healthy tissue can lower kidney function and increase the risk of high blood pressure and, in more severe or repeated cases, chronic kidney disease.
How do neutrophils fight kidney infections?
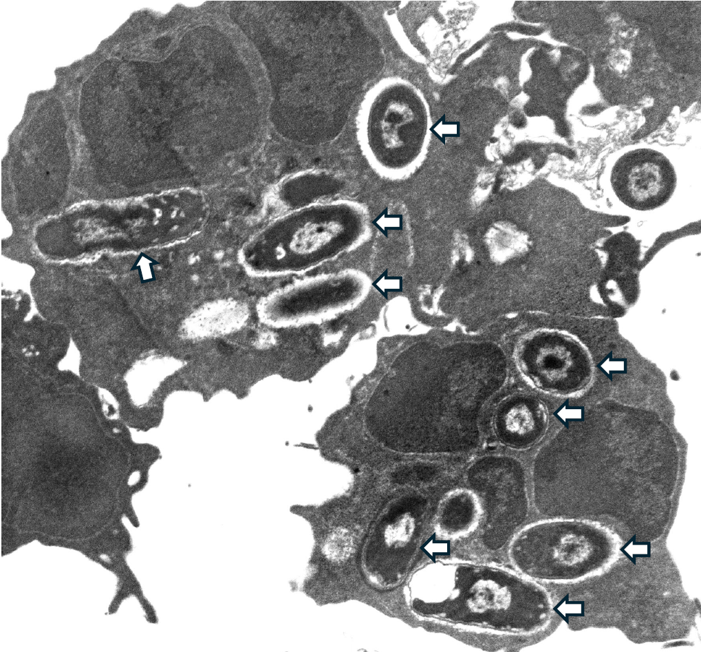
Neutrophils are the most common type of white blood cell and are among the first immune cells to arrive at a site of infection. Although they live for less than a day, they respond quickly, engulf invading bacteria and destroy them. Juan’s research highlights how important they are in UTIs caused by UPEC. In mouse studies, when neutrophils are absent, bacteria spread rapidly, leading to more severe kidney infections and greater tissue damage, mirroring observations in human patients with low neutrophil counts.
Inside neutrophils, an enzyme called NADPH oxidase plays a crucial role in the elimination of UPEC. After a bacterium is engulfed, NADPH oxidase produces reactive oxygen species — toxic molecules that help kill the microbes. But NADPH oxidase does more than destroy bacteria: it also helps control inflammation, preventing the immune response from becoming too strong and harming healthy kidney tissue. “We are currently investigating strategies to selectively enhance NADPH oxidase activation in neutrophils to boost their bacteria-killing ability, while avoiding harmful overactivation of the immune system,” says Juan. “Our preliminary results are promising; in mouse models, we see that activation of NADPH oxidase in neutrophils promotes bacterial killing, and we observe fewer bacteria in the kidneys.”
What role do macrophages play in infection?
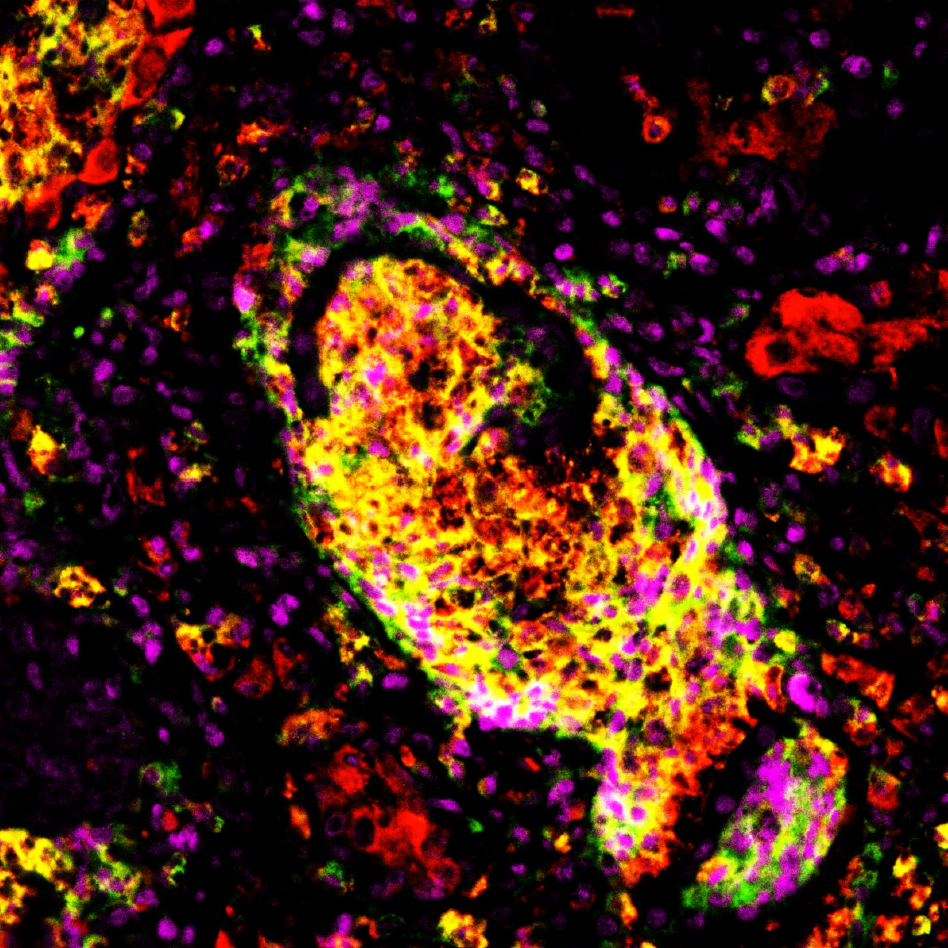
Macrophages are another key type of immune cell and form part of the body’s first line of defence. Some live permanently in tissues such as the bladder and kidneys, while others are recruited from the blood during infection. They act as guards, using specialised receptors to detect invading microbes, engulfing and destroying bacteria, and releasing chemical signals that attract other immune cells — especially neutrophils — to the site of infection. In this way, they both fight bacteria directly and coordinate the wider immune response.
“Macrophages usually help protect the body during a UTI, but sometimes their response can become too strong or last too long,” explains Juan. While inflammation helps eliminate infection, excessive or prolonged inflammation can damage healthy tissue. Over time, this can lead to the build-up of scar tissue, reducing kidney function and increasing the risk of chronic kidney disease.
Why are new treatments for UTIs urgently needed?
“Antibiotic-resistant bacteria are becoming more common, mainly because antibiotics are often overused or not taken correctly,” says Juan. “When this happens, the most vulnerable bacteria are killed, but resistant ones survive and multiply.” Over time, this makes infections harder to treat. Some strains of UPEC now show high levels of resistance to commonly prescribed antibiotics, with rates of resistance ranging from 55% to 85% in some developed countries.
Antibiotics also do not solve every part of the problem. While they can remove bacteria, they do not directly control the inflammation that can damage kidney tissue. This helps explain why some children develop permanent scarring even after treatment.
Juan and his team are developing strategies to regulate macrophage-driven inflammation to reduce kidney damage. “We’re seeing early evidence that targeting overactive macrophages helps reduce inflammation and prevent scarring in infected mouse kidneys,” says Juan. “Our ultimate goal is to create innovative, immune-based therapies that reduce dependence on antibiotics, enhance the body’s natural ability to fight infection and protect children from permanent kidney damage.”
Reference
https://doi.org/10.33424/FUTURUM686
Dr Juan de Dios Ruiz-Rosado
Principal Investigator, Assistant Professor of Pediatrics, Kidney and Urinary Tract Research Center, Abigail Wexner Research Institute, Nationwide Children’s Hospital, Ohio State University, USA
Field of research: Renal immunology
Research project: Studying and manipulating the immune system to fight urinary tract infections
Funders: Research in the Ruiz-Rosado Lab is supported by the National Institute of Diabetes and Digestive and Kidney Diseases (NIDDK; K01 DK128379) and the Clinical and Translational Intramural Funding Program (IFPAWRI052023) at the Abigail Wexner Research Institute, Nationwide Children’s Hospital, USA. Inicure (Sweden) generously provided newly discovered NADPH oxidase activators.
About renal immunology
Renal immunology is the study of how the immune system works within the kidneys. It sits at the intersection of immunology, nephrology (the study of kidneys), microbiology and infectious disease research, exploring how immune cells protect the kidneys from infection and prevent damage to this vital organ. Because the kidneys have a unique environment — with high sodium and urea levels, tightly controlled metabolism, and regions of low oxygen — immune cells behave differently in the kidneys compared to other parts of the body. “This is an exciting field because we still know relatively little about how immune cells behave within the unique environment of the kidneys,” says Juan. “Immune cells do not function in isolation — they constantly respond to signals from the tissues around them.”
Renal immunology is important not only for acute pyelonephritis, but also for conditions such as autoimmune diseases (when the immune system attacks healthy cells), diabetic kidney disease, acute kidney injury and kidney transplant rejection. In all these conditions, inflammation can lead to long-term loss of kidney function. “For these reasons, renal immunology is not only essential for understanding infections, but also for advancing treatments across a broad range of kidney diseases that affect millions of people worldwide,” explains Juan.
According to Juan, one of the greatest rewards of working in renal immunology is knowing that the research addresses a major and meaningful health problem. UTIs account for millions of healthcare visits and many hospitalisations each year, placing a medical, economic and emotional burden on patients and families. “Contributing even a small piece to a better understanding of disease — and helping advance how we prevent or treat it — is one of the most meaningful aspects of this work,” says Juan.
Like many fast-moving scientific fields, renal immunology also comes with challenges, such as keeping up with the rapidly expanding body of research. “Staying current is essential to avoid duplicating prior work and to identify new directions,” says Juan, who makes continuous learning a priority in his lab. “Young scientists should be curious and persistent, and pursue bold, innovative ideas in this field, which is both challenging and deeply rewarding.”
Pathway from school to renal immunology
“To pursue renal immunology, students should build a strong foundation in biology, chemistry and creative writing during high school,” says Juan. “Courses in statistics and basic programming are also increasingly valuable.”
“At the university level, I recommend courses in immunology, microbiology, cell and molecular biology, anatomy, and infectious diseases,” says Juan. “Also, courses in creative or scientific writing help with publishing papers and applying for fellowships.”
Laboratory placements, summer research programmes and internships will allow you to develop practical skills and learn how scientific studies are designed and conducted. Early research experience can also help you identify your interests and build confidence.
Explore careers in renal immunology
According to Juan, professional societies are a great place to start. Organisations such as the American Association of Immunologists, the American Society of Nephrology and the American Society for Microbiology offer webinars, conferences and networking opportunities for students interested in immunology and kidney research.
Textbooks such as Basic Immunology and Cellular and Molecular Immunology by Abbas, Lichtman and Pillai are widely used in medical and graduate training and provide a strong foundation in immune system biology.
Online learning platforms can help build knowledge and skills. Courses from the Foundation for Advanced Education in the Sciences and classes on Coursera cover topics such as immunology, microbiology and data analysis. Educational YouTube channels like Khan Academy, Osmosis and eLife can also help you learn about complex concepts.
Meet the team
Israel Cotzomi-Ortega
Research Scientist
I believe that the people who surround us gradually shape our interests. I was fortunate to have inspiring teachers throughout my education, and they awakened in me a passion for asking questions and searching for answers. I see myself as a simple person, drawn to simple questions: Why are leaves green? Why is blood red? What happens inside our bodies when we fall ill? Yet, what appears simple often conceals great complexity, and I believe it is our responsibility to understand that complexity and transform it into knowledge that serves humanity.
I have had the opportunity to work in several research labs and across different scientific fields. These experiences have allowed me to acquire and apply a wide range of research techniques to address our current scientific questions. Another key element of a successful career is collaboration and teamwork. Today, science is marked by advances so large and complex that they would take a single person or research group an extraordinary amount of time to achieve alone.
Exploring new paths within the vast world of knowledge is both a privilege and a responsibility. In our field, many research questions arise, and after analysing what is already known, we design experimental strategies to address them. But the process does not end there: we must also analyse and interpret the results to propose new knowledge, which is then examined by the broader scientific community.
Israel’s top tip
Empathy is important in the fields of science and medicine. It is fascinating to seek answers in a universe waiting to be discovered and understood for the benefit of all living beings.
Yuriko I. Sanchez-Zamora
Postdoctoral Scientist
In school, I really liked biology, chemistry and math. At first, I wanted to study medicine and help people, particularly those affected by cancer. In my free time, I used to do simple experiments at home, and I even dreamed of studying whales and running a lab on a boat. That curiosity and excitement about discovery ultimately led me into the world of research.
I think a big part of my success comes from being genuinely passionate about research and naturally curious. Over the years, I’ve learned how to stay organised, multitask and troubleshoot when experiments don’t go as planned, which happens a lot in science.
I love that my job doesn’t really feel like a job. I feel like I get paid to do my hobby. I’m fascinated by discovering how every cell has a very specific role, almost like it has a backup plan for every challenge it faces.
Yuriko’s top tip
Don’t get too distracted — there’s time for everything, but you need to stay focused.
Gamaliel Sanchez-Orellana
Senior Research Associate
As a teenager, I was interested in scientific topics and figuring out how things work, but I was equally drawn to computers and technology. I remember taking apart and reassembling my PC when I was around 10 — I enjoyed problem-solving and spending time learning how systems functioned.
Later on, I realised that I didn’t have to choose between these interests. Discovering bioinformatics allowed me to combine my interest in biology with computational tools and programming, which ultimately shaped my decision to pursue this career path.
Attention to detail, persistence and a strong curiosity for science have played an important role in my career. Research often involves working through complex data and unexpected results, and being patient and thorough has been essential. My training in bioinformatics and hands-on research experience have helped me approach challenging questions in renal immunology with a critical and analytical mindset.
I enjoy knowing that my work contributes to a clear and meaningful goal. My goal is to understand and ultimately improve the outcome of urinary tract infections. This purpose motivates me to keep improving my skills.
Gamaliel’s top tip
If you find an area that genuinely interests you, pursue it and don’t be afraid to invest time in learning and improving.
Do you have a question for Juan, Israel, Yuriko or Gamaliel?
Write it in the comments box below and he will get back to you. (Remember, researchers are very busy people, so you may have to wait a few days.)
Discover more about how our body protects us from infection:
futurumcareers.com/breath-by-breath-how-t-cells-protect-our-lungs-from-infection
The post How can immunology improve treatments for urinary tract infections? appeared first on Futurum.
“}]]
